
SMILE GALLERY
At 803 Dental, every smile tells a story — and we’re proud to share some of our patients’ journeys with you. From small cosmetic enhancements to full smile makeovers, these before-and-after photos highlight the life-changing results that modern dentistry can achieve. We invite you to explore our gallery for inspiration and imagine what’s possible for your own smile.
BOOK ONLINEReal Patient Transformations
Changing Lives, One Smile At A Time
Many patients step into our practice with dreams of a brand new confident smile. Others are looking to repair damage and get their oral health back on track. No matter your goals, we’re honored to be a part of your oral health journey. Take a look at our Before & After gallery to explore real patient stories and procedures completed by our very own Dr. K!
.avif)
Veneers
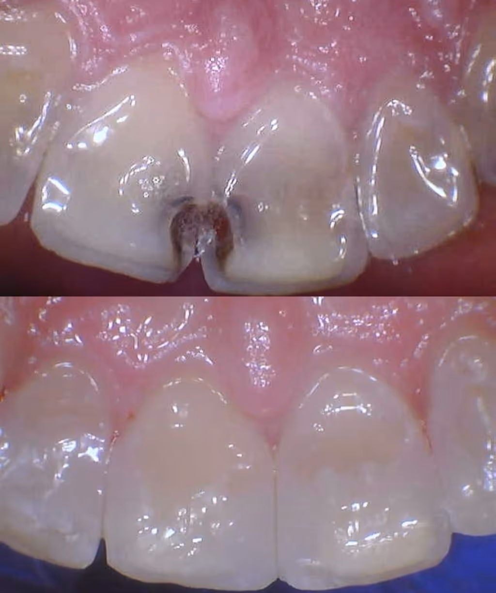
Dental Bonding
.avif)
Dental Bonding
%20(1).avif)
Dental Bridge
%20(5).avif)
Dental Bridge
.avif)
Front Dental Crowns
%20(2).avif)
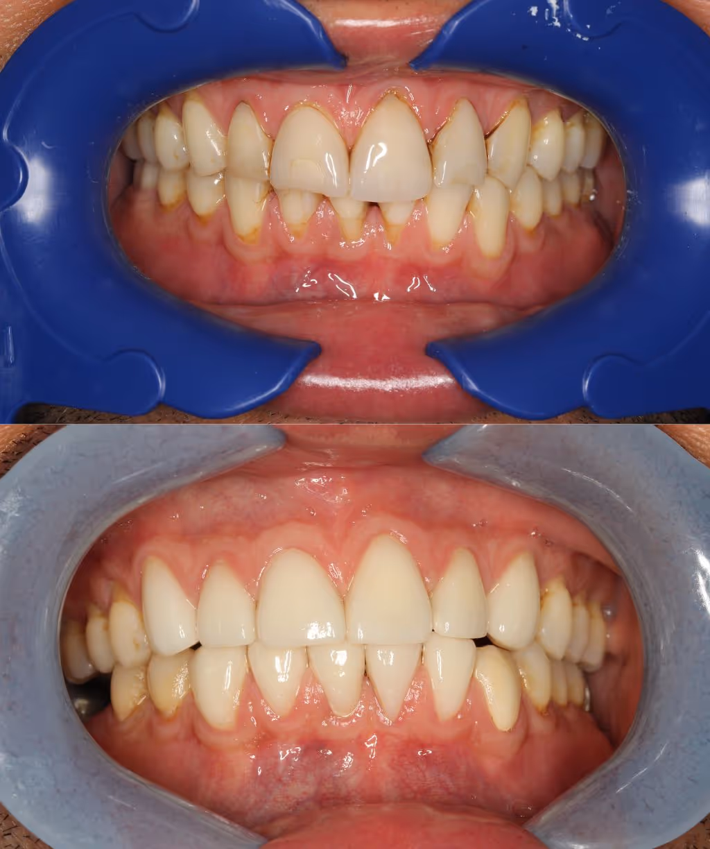
Front Smile Transformation
.avif)
Front Smile Transformation
%20(7).avif)
Veneers
%20(4).avif)